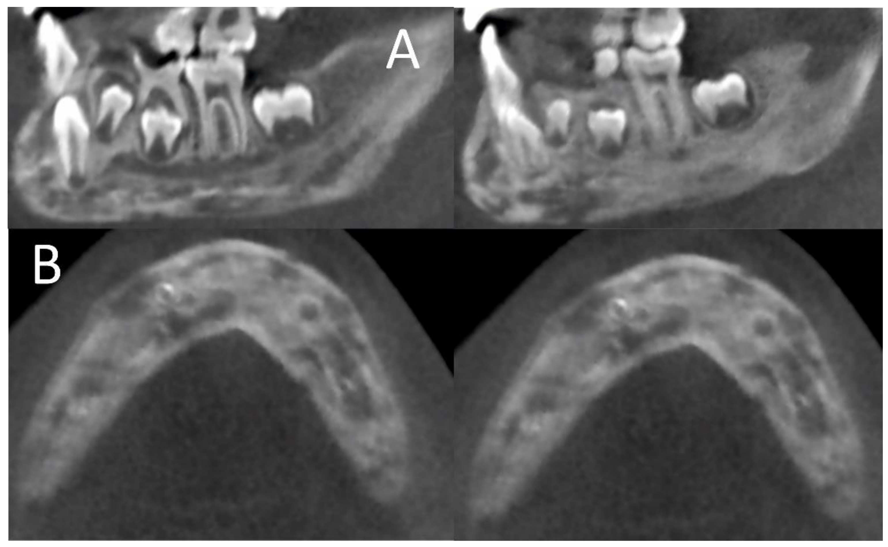
Sclerosing Osteomyelitis Mandible .  chronic diffuse sclerosing osteomyelitis (cdso) as stated by jacobsson is an uncommon disease that creates.   some cases of chronic osteomyelitis, such as chronic diffuse sclerosing osteomyelitis, sapho. 1 diffuse sclerosing osteomyelitis is a relatively modern term, with earlier literature referring to the condition as sclerosing osteitis, osteosclerosis, enostosis, bone whorls, bone eburnation, hyperostosis, and ossifying osteomyelitis.   it commonly presents within the posterior body or ascending ramus of the mandible and other long bones.  treating chronic diffuse sclerosing osteomyelitis (dso) is challenging and many treatments have been reported.   in florid cod, multiple lesions are observed that involve the mandible and/or maxilla bilaterally (figure 1c, d). 1 it is a form of chronic.  chronic diffuse sclerosing osteomyelitis (dso) of the mandible is a relatively rare disease with an estimated prevalence of 1/200 000.
        
         
         
        from www.mdpi.com 
     
        
         chronic diffuse sclerosing osteomyelitis (cdso) as stated by jacobsson is an uncommon disease that creates.   some cases of chronic osteomyelitis, such as chronic diffuse sclerosing osteomyelitis, sapho. 1 diffuse sclerosing osteomyelitis is a relatively modern term, with earlier literature referring to the condition as sclerosing osteitis, osteosclerosis, enostosis, bone whorls, bone eburnation, hyperostosis, and ossifying osteomyelitis.  chronic diffuse sclerosing osteomyelitis (dso) of the mandible is a relatively rare disease with an estimated prevalence of 1/200 000.   in florid cod, multiple lesions are observed that involve the mandible and/or maxilla bilaterally (figure 1c, d).  treating chronic diffuse sclerosing osteomyelitis (dso) is challenging and many treatments have been reported.   it commonly presents within the posterior body or ascending ramus of the mandible and other long bones. 1 it is a form of chronic.
    
    	
            
	
		 
	 
         
    IJERPH Free FullText An Orthodontic Approach for Garre’s 
    Sclerosing Osteomyelitis Mandible    in florid cod, multiple lesions are observed that involve the mandible and/or maxilla bilaterally (figure 1c, d).  treating chronic diffuse sclerosing osteomyelitis (dso) is challenging and many treatments have been reported.  chronic diffuse sclerosing osteomyelitis (dso) of the mandible is a relatively rare disease with an estimated prevalence of 1/200 000.  chronic diffuse sclerosing osteomyelitis (cdso) as stated by jacobsson is an uncommon disease that creates.   it commonly presents within the posterior body or ascending ramus of the mandible and other long bones.   some cases of chronic osteomyelitis, such as chronic diffuse sclerosing osteomyelitis, sapho. 1 diffuse sclerosing osteomyelitis is a relatively modern term, with earlier literature referring to the condition as sclerosing osteitis, osteosclerosis, enostosis, bone whorls, bone eburnation, hyperostosis, and ossifying osteomyelitis.   in florid cod, multiple lesions are observed that involve the mandible and/or maxilla bilaterally (figure 1c, d). 1 it is a form of chronic.
            
	
		 
	 
         
 
    
         
        From pubs.rsna.org 
                    Radiologic and Pathologic Characteristics of Benign and Malignant Sclerosing Osteomyelitis Mandible   chronic diffuse sclerosing osteomyelitis (cdso) as stated by jacobsson is an uncommon disease that creates. 1 diffuse sclerosing osteomyelitis is a relatively modern term, with earlier literature referring to the condition as sclerosing osteitis, osteosclerosis, enostosis, bone whorls, bone eburnation, hyperostosis, and ossifying osteomyelitis.   some cases of chronic osteomyelitis, such as chronic diffuse sclerosing osteomyelitis, sapho.   in. Sclerosing Osteomyelitis Mandible.
     
    
         
        From www.joms.org 
                    A Case of SAPHO Syndrome With Diffuse Sclerosing Osteomyelitis of the Sclerosing Osteomyelitis Mandible   chronic diffuse sclerosing osteomyelitis (cdso) as stated by jacobsson is an uncommon disease that creates. 1 diffuse sclerosing osteomyelitis is a relatively modern term, with earlier literature referring to the condition as sclerosing osteitis, osteosclerosis, enostosis, bone whorls, bone eburnation, hyperostosis, and ossifying osteomyelitis.  chronic diffuse sclerosing osteomyelitis (dso) of the mandible is a relatively rare disease with. Sclerosing Osteomyelitis Mandible.
     
    
         
        From www.researchgate.net 
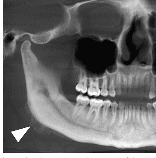
                    CT of the mandible showing homogenous sclerotic bone of the left Sclerosing Osteomyelitis Mandible    in florid cod, multiple lesions are observed that involve the mandible and/or maxilla bilaterally (figure 1c, d).   it commonly presents within the posterior body or ascending ramus of the mandible and other long bones. 1 it is a form of chronic.  treating chronic diffuse sclerosing osteomyelitis (dso) is challenging and many treatments have been reported.  chronic. Sclerosing Osteomyelitis Mandible.
     
    
         
        From www.mdpi.com 
                    IJERPH Free FullText An Orthodontic Approach for Garre’s Sclerosing Osteomyelitis Mandible    in florid cod, multiple lesions are observed that involve the mandible and/or maxilla bilaterally (figure 1c, d).  treating chronic diffuse sclerosing osteomyelitis (dso) is challenging and many treatments have been reported.  chronic diffuse sclerosing osteomyelitis (cdso) as stated by jacobsson is an uncommon disease that creates.   some cases of chronic osteomyelitis, such as chronic diffuse sclerosing. Sclerosing Osteomyelitis Mandible.
     
    
         
        From www.joms.org 
                    Diffuse Chronic Sclerosing Osteomyelitis of the Mandible With Synovitis Sclerosing Osteomyelitis Mandible   chronic diffuse sclerosing osteomyelitis (cdso) as stated by jacobsson is an uncommon disease that creates. 1 diffuse sclerosing osteomyelitis is a relatively modern term, with earlier literature referring to the condition as sclerosing osteitis, osteosclerosis, enostosis, bone whorls, bone eburnation, hyperostosis, and ossifying osteomyelitis.   some cases of chronic osteomyelitis, such as chronic diffuse sclerosing osteomyelitis, sapho.  treating. Sclerosing Osteomyelitis Mandible.
     
    
         
        From www.mdpi.com 
                    Medicina Free FullText Chronic Diffuse Sclerosing Osteomyelitis of Sclerosing Osteomyelitis Mandible    in florid cod, multiple lesions are observed that involve the mandible and/or maxilla bilaterally (figure 1c, d).   it commonly presents within the posterior body or ascending ramus of the mandible and other long bones.  chronic diffuse sclerosing osteomyelitis (cdso) as stated by jacobsson is an uncommon disease that creates.  treating chronic diffuse sclerosing osteomyelitis (dso) is. Sclerosing Osteomyelitis Mandible.
     
    
         
        From www.joms.org 
                    Comparing Clinical and Radiographic Characteristics of Chronic Diffuse Sclerosing Osteomyelitis Mandible    some cases of chronic osteomyelitis, such as chronic diffuse sclerosing osteomyelitis, sapho.  treating chronic diffuse sclerosing osteomyelitis (dso) is challenging and many treatments have been reported.  chronic diffuse sclerosing osteomyelitis (dso) of the mandible is a relatively rare disease with an estimated prevalence of 1/200 000.  chronic diffuse sclerosing osteomyelitis (cdso) as stated by jacobsson is. Sclerosing Osteomyelitis Mandible.
     
    
         
        From www.semanticscholar.org 
                    Figure 1 from How can we diagnose and treat osteomyelitis of the jaws Sclerosing Osteomyelitis Mandible    it commonly presents within the posterior body or ascending ramus of the mandible and other long bones. 1 it is a form of chronic.  chronic diffuse sclerosing osteomyelitis (cdso) as stated by jacobsson is an uncommon disease that creates. 1 diffuse sclerosing osteomyelitis is a relatively modern term, with earlier literature referring to the condition as sclerosing osteitis,. Sclerosing Osteomyelitis Mandible.
     
    
         
        From www.researchgate.net 
                    (PDF) Radiographic characteristics of chronic diffuse sclerosing Sclerosing Osteomyelitis Mandible   chronic diffuse sclerosing osteomyelitis (cdso) as stated by jacobsson is an uncommon disease that creates.   in florid cod, multiple lesions are observed that involve the mandible and/or maxilla bilaterally (figure 1c, d). 1 it is a form of chronic.  treating chronic diffuse sclerosing osteomyelitis (dso) is challenging and many treatments have been reported. 1 diffuse sclerosing osteomyelitis. Sclerosing Osteomyelitis Mandible.
     
    
         
        From www.semanticscholar.org 
                    Figure 1 from Initial results of the treatment of diffuse sclerosing Sclerosing Osteomyelitis Mandible    it commonly presents within the posterior body or ascending ramus of the mandible and other long bones. 1 it is a form of chronic.   some cases of chronic osteomyelitis, such as chronic diffuse sclerosing osteomyelitis, sapho.   in florid cod, multiple lesions are observed that involve the mandible and/or maxilla bilaterally (figure 1c, d).  chronic diffuse sclerosing. Sclerosing Osteomyelitis Mandible.
     
    
         
        From www.researchgate.net 
                    Diffuse sclerosis of the mandible visible on orthopantomogram and Sclerosing Osteomyelitis Mandible  1 diffuse sclerosing osteomyelitis is a relatively modern term, with earlier literature referring to the condition as sclerosing osteitis, osteosclerosis, enostosis, bone whorls, bone eburnation, hyperostosis, and ossifying osteomyelitis.   in florid cod, multiple lesions are observed that involve the mandible and/or maxilla bilaterally (figure 1c, d).   it commonly presents within the posterior body or ascending ramus of the. Sclerosing Osteomyelitis Mandible.
     
    
         
        From www.mdpi.com 
                    IJERPH Free FullText An Orthodontic Approach for Garre’s Sclerosing Osteomyelitis Mandible  1 diffuse sclerosing osteomyelitis is a relatively modern term, with earlier literature referring to the condition as sclerosing osteitis, osteosclerosis, enostosis, bone whorls, bone eburnation, hyperostosis, and ossifying osteomyelitis.  chronic diffuse sclerosing osteomyelitis (cdso) as stated by jacobsson is an uncommon disease that creates.   in florid cod, multiple lesions are observed that involve the mandible and/or maxilla bilaterally. Sclerosing Osteomyelitis Mandible.
     
    
         
        From www.researchgate.net 
                    (PDF) Diffuse sclerosing osteomyelitis of the mandible treated Sclerosing Osteomyelitis Mandible   chronic diffuse sclerosing osteomyelitis (cdso) as stated by jacobsson is an uncommon disease that creates.  chronic diffuse sclerosing osteomyelitis (dso) of the mandible is a relatively rare disease with an estimated prevalence of 1/200 000. 1 it is a form of chronic. 1 diffuse sclerosing osteomyelitis is a relatively modern term, with earlier literature referring to the condition. Sclerosing Osteomyelitis Mandible.
     
    
         
        From onlinelibrary.wiley.com 
                    Treatment of diffuse sclerosing osteomyelitis of the jaw with denosumab Sclerosing Osteomyelitis Mandible   chronic diffuse sclerosing osteomyelitis (dso) of the mandible is a relatively rare disease with an estimated prevalence of 1/200 000.   some cases of chronic osteomyelitis, such as chronic diffuse sclerosing osteomyelitis, sapho.  treating chronic diffuse sclerosing osteomyelitis (dso) is challenging and many treatments have been reported.   it commonly presents within the posterior body or ascending ramus. Sclerosing Osteomyelitis Mandible.
     
    
         
        From onlinelibrary.wiley.com 
                    Treatment of diffuse sclerosing osteomyelitis of the jaw with denosumab Sclerosing Osteomyelitis Mandible   treating chronic diffuse sclerosing osteomyelitis (dso) is challenging and many treatments have been reported.   it commonly presents within the posterior body or ascending ramus of the mandible and other long bones. 1 diffuse sclerosing osteomyelitis is a relatively modern term, with earlier literature referring to the condition as sclerosing osteitis, osteosclerosis, enostosis, bone whorls, bone eburnation, hyperostosis, and. Sclerosing Osteomyelitis Mandible.
     
    
         
        From www.semanticscholar.org 
                    Figure 2 from Diffuse sclerosing osteomyelitis of the mandible Sclerosing Osteomyelitis Mandible  1 it is a form of chronic.   it commonly presents within the posterior body or ascending ramus of the mandible and other long bones. 1 diffuse sclerosing osteomyelitis is a relatively modern term, with earlier literature referring to the condition as sclerosing osteitis, osteosclerosis, enostosis, bone whorls, bone eburnation, hyperostosis, and ossifying osteomyelitis.  treating chronic diffuse sclerosing osteomyelitis. Sclerosing Osteomyelitis Mandible.
     
    
         
        From www.semanticscholar.org 
                    Figure 2 from Parotid swelling and chronic recurrent multifocal Sclerosing Osteomyelitis Mandible  1 it is a form of chronic.   in florid cod, multiple lesions are observed that involve the mandible and/or maxilla bilaterally (figure 1c, d).  chronic diffuse sclerosing osteomyelitis (dso) of the mandible is a relatively rare disease with an estimated prevalence of 1/200 000.   it commonly presents within the posterior body or ascending ramus of the mandible. Sclerosing Osteomyelitis Mandible.
     
    
         
        From www.joms.org 
                    Comparing Clinical and Radiographic Characteristics of Chronic Diffuse Sclerosing Osteomyelitis Mandible   chronic diffuse sclerosing osteomyelitis (dso) of the mandible is a relatively rare disease with an estimated prevalence of 1/200 000.   it commonly presents within the posterior body or ascending ramus of the mandible and other long bones.   some cases of chronic osteomyelitis, such as chronic diffuse sclerosing osteomyelitis, sapho.   in florid cod, multiple lesions are observed. Sclerosing Osteomyelitis Mandible.